Edition: International
Saturday 06 December, 2025
BREAKING NEWS

PM Modi, Russian President Putin Hold Talks at Hyderabad House

  • News
    • Kochi
    • Trivandrum
    • Kozhikode
  • Sports
  • Business
  • Health
  • Entertainment
    • E24hrs
    • Cinema
    • Directors
    • Actors
  • Education
    • Career
  • Automobile
  • Personalities
    • Political Leaders
  • Religion
    • Christian
      • Catholic
      • Latin Catholic
      • Syro Malabar
    • Hindu
    • Islam
  • Environment
  • More
    • Food
    • Wellness
    • Lifestyle
    • Beauty & Fashion
    • Fitness
    • Mental Health
    • Yoga
    • Video
  • മലയാളം
BREAKING NEWS
100Days: Thirike, Neestream and Gopi Make their Way into the India Book of Records
Uralungal Concrete Plant Gets BIS Certification for Quality
The Not-so-Secret Pillar Behind VinFast’s Rise and Rise Again
Convergence India Roadshow held at Infopark
Padma Bhushan Pt. Vishwa Mohan Bhatt Enchants Rajagiri
Amrita Hospital, Kochi Treats Rare Fetus-in-Fetu Case
    • News
      • Kochi
      • Trivandrum
      • Kozhikode
    • Sports
    • Business
    • Health
    • Entertainment
      • E24hrs
      • Cinema
      • Directors
      • Actors
    • Education
      • Career
    • Automobile
    • Personalities
      • Political Leaders
    • Religion
      • Christian
        • Catholic
        • Latin Catholic
        • Syro Malabar
      • Hindu
      • Islam
    • Environment
    • More
      • Food
      • Wellness
      • Lifestyle
      • Beauty & Fashion
      • Fitness
      • Mental Health
      • Yoga
      • Video
    • മലയാളം
  • Health
  • Amrita Hospital, Kochi Treats Rare Fetus-in-Fetu Case

    By NE Reporter on December 6, 2025

    KOCHI:
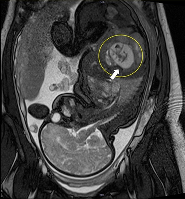
    Amrita Hospital, Kochi have successfully performed a rare and delicate surgery to remove a fetus in fetu—an extremely uncommon congenital condition in which a malformed twin becomes enclosed within the body of its normal twin during early embryonic development. Fewer than 1 in 5,00,000 births present this anomaly worldwide, making this case a remarkable medical milestone.

    The condition was first diagnosed at the antenatal scanning done by Dr Vivek Krishnan, Additional Professor, Dr. Dhanya Keezhatoor and Dr. Sruthi Soman, Assistant Professors from the department of fetal care. Advanced prenatal imaging revealed an abnormal mass, prompting close monitoring and expert evaluation. Antenatal scans play a crucial role in identifying such complex conditions early, enabling timely intervention after birth.

    After delivery, further imaging confirmed the presence of fetus in fetu—a non-viable twin entrapped inside the abdomen of the surviving infant. At just two months old, the baby girl underwent a complex open surgery at Amrita Hospital to remove the malformed fetus, which weighed 48.7 grams.

    The rare procedure was led by an expert pediatric surgical team of Dr. Mohan Abraham, Emeritus Professor, Paediatric Surgery; Dr. Aswin Prabhakaran, Associate Professor, Paediatric Surgery; Dr. Rekha Varghese, Anaesthesiologist; Dr. Anju Anand and Steny Shaji, Physician Assistants.

    The operation lasted nearly two hours and was completed without complications. The infant recovered well following the surgery and is reported to be in stable condition.

    This successful intervention underscores Amrita Hospital, Kochi’s advanced capabilities in fetal medicine, pediatric surgery, and anesthesia reaffirming its role as a leading centre for complex and rare pediatric conditions.

    NE Reporter

    Amrita Hospitaldelicate surgeryFetus in Fetu

    more recommended stories

    • Aster Medcity Celebrates International Day of Persons with Disability

      KOCHI:The Physical Medicine and Rehabilitation (PMR).

    • Makers of Johnson’s Baby Supports Training of Over 2 Lakh Healthcare Workers

      MUMBAI:Every mother remembers the magic of.

    • 8-ാമത് ഇന്ത്യൻ സൊസൈറ്റി ഓഫ് കാവസാക്കി ഡിസീസ്‌ നാഷണൽ കോൺഫറൻസ് കൊച്ചിയിൽ സംഘടിപ്പിച്ചു

      കൊച്ചി : കുട്ടികളിൽ കാണപ്പെടുന്ന പ്രധാന വാസ്കുലൈറ്റിസുകളില്‍.

    • Mobility Restored: Doctors At KIMSHEALTH Perform Complex Surgery To Rectify Kyphoscoliosis

      THIRUVANANTHAPURAM: Doctors at KIMSHEALTH successfully corrected.

    • സാംസങ് ആര്‍20 അള്‍ട്രാസൗണ്ട് ഇമേജിങ് സിസ്റ്റം ഇന്ത്യയില്‍

      കൊച്ചി: സാംസങ് പുതിയ സൂപ്പര്‍–പ്രീമിയം ആര്‍20 അള്‍ട്രാസൗണ്ട്.

    • Samsung Launches R20 Ultrasound System Redefining General Imaging with Next-Gen AI

      GURUGRAM: Samsung, India’s largest consumer electronics.

    • ലോക ആന്റിമൈക്രോബിയൽ അവബോധ വാരം സംഘടിപ്പിച്ച്  അമൃത  ആശുപത്രി

      കൊച്ചി : ആന്റിമൈക്രോബിയൽ റെസിസ്റ്റൻസ് (AMR) എന്ന.

    • Amrita Hospital Observes World Antimicrobial Awareness Week 2025

      KOCHI: Amrita Hospital observed World Antimicrobial.

    • Milma’s Alappuzha Dairy Open to the Public for Two Days to Celebrate National Milk Day

      ALAPPUZHA:  Milma’s Central Products Dairy in.

    • Ambuja Cements Supports TB Patients Through Nutrition Intervention In Marwar Mundwa

      RAJASTHAN: Ambuja Cements, the 9th largest.

    Live Updates

    • Uralungal Concrete Plant Gets BIS Certification for Quality
    • The Not-so-Secret Pillar Behind VinFast’s Rise and Rise Again
    • Convergence India Roadshow held at Infopark
    • Padma Bhushan Pt. Vishwa Mohan Bhatt Enchants Rajagiri
    • Amrita Hospital, Kochi Treats Rare Fetus-in-Fetu Case

    NewsExperts.in

    • മലയാളം
    • മലയാളം

    What’s New ?

    • Uralungal Concrete Plant Gets BIS Certification for Quality
    • The Not-so-Secret Pillar Behind VinFast’s Rise and Rise Again
    • Convergence India Roadshow held at Infopark
    • Padma Bhushan Pt. Vishwa Mohan Bhatt Enchants Rajagiri
    • Amrita Hospital, Kochi Treats Rare Fetus-in-Fetu Case

    Newsexperts.in - powered by Klickevents Infosolutions (P) LTD